Поделись улыбкою своейПрофессиональная гигиеническая чистка в «Добростоме» по специальной цене
- Поток
- 14 февр. 2017

Может ли посещение врача-стоматолога быть приятным? Начните с профессиональной гигиенической чистки в клинике «Добростом», и, возможно, до возникновения кариеса дело так и не дойдёт. Только в феврале на эту процедуру действует специальная цена - 2500 рублей за правильную заботу о ваших зубах!
ЗАЧЕМ
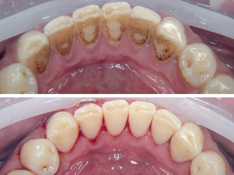
Что же такое профессиональная гигиена, и зачем она нужна человеку, который старательно чистит зубы утром и вечером? Дело в том, что домашний уход за зубами не в силах избавить нас от налета в труднодоступных местах, он будет атаковать зубы и неизбежно превратится в кариес. Устранить налет на ранней стадии не только легче, приятнее, но и дешевле. Самое важное при этом — обратиться к врачу-стоматологу с высшим образованием, который, в отличие от гигиениста, сможет правильно диагностировать состояние полости рта и назначить соответствующее лечение. В клинике «Добростом» процедуру профессиональной гигиены проводит врач-стоматолог с 12-летним стажем работы.
ГИГИЕНА – ЭТО...
Каковы же особенности проведения процедуры гигиены в клинике «Добростом»? Первым этапом врач проводит плановый осмотр полости рта при помощи увеличительной оптики, которая помогает мгновенно выявить заболевание и его причины и провести лечение более тонко и точно. После тщательного осмотра врач приступает к проведению самой гигиены. В стоматологической клинике «Добростом» для снятия назубных отложений (зубного налета, зубного камня) используется ультразвуковой аппарат и пескоструйный аппарат с применением высококачественного швейцарского порошка различной дисперстности в зависимости от показаний в разных клинических случаях. После порошковой и ультразвуковой чистки зубов врач проводит закрытый кюретаж. Эта процедура позволяет очень бережно, аккуратно и безболезненно вычистить малодоступные участки корня зуба. Массаж десен, который производится потом, — открытие для большинства пациентов, он улучшает кровообращение и общее состояние десны.
В финале часовой гигиенической чистки в клинике «Добростом» зубы обрабатываются защитным лаком с минеральными компонентами и кальцием, а пациент получает индивидуальные рекомендации по подбору зубной пасты и щетки. Профессиональную гигиену рекомендовано проводить от 1 раза в три месяца до 1 раза в полгода, в зависимости от клинических показаний, а при ортодонтическом лечении профессиональная гигиена очень важна для профилактики кариеса.
ЧТО ДАЛЬШЕ?
Потребуется ли вам лечить зубы после процедуры гигиены или нет — важно знать, что клиника может решить любую проблему.
Здесь проводят:
• лечение кариеса зубов;
• лечение каналов зубов с использованием
микроскопа;
• протезирование зубов любой сложности;
• удаление зубов любой сложности.
«Добростом» — спокойно, уютно, в надежных руках высококлассных специалистов!
Десяти пациентам, назвавшим кодовое слово «Бродвей» при записи, клиника подарит 10 %-ную карточку скидок для всей семьи – подробности акции уточняйте по телефону 53-83-39.
Адрес: Калининград, Московский проспект, 97, второй этаж. dobrostom39.ru
Необходима консультация врача-специалиста. Фото предоставлены компанией.
